

歯周病
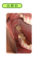
歯周病とは、歯の周囲に付着したプラーク(歯垢)が歯と歯肉の隙間に入り込み、歯を支えている骨を溶かしてしまう病気です。
プラークには非常に多くのバクテリアが含まれていて、そのバクテリアの出す毒素が歯肉に炎症を起こし、そして歯を支えている骨を溶かすのです。
歯肉が腫れる、歯肉から出血する、口臭が気になる、歯がグラグラするなどの症状があれば、歯周病にかかっているのかもしれません。
また、歯周病は歯を失うだけでなく、心臓病や糖尿病などの全身疾患にも悪影響を与えています。
歯周病は自覚症状が少なく、気付いたときには手遅れになっている場合もあります。
 口腔衛生習慣の改善により日本人のむし歯は減少してきました。
しかし、歯周病はあまり減少することなく、現在でも成人の約80%が歯周病にかかっており、30才以上の方の歯の喪失原因の第1位になっています。
この原因として、日本人に歯の定期検診を受ける習慣があまりないこと、また、歯周病を確実に治療できる歯科医が残念ながら非常に少ないことなどが考えられます。
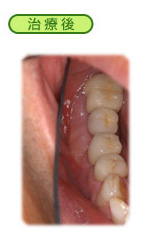
一生自分の歯で噛むためには、むし歯の予防と同時に歯周病の予防と適切な治療が大切です。
 この15年の間に、欧米を中心に歯周治療は急速な進歩を遂げました。
以前は「不治の病」とさえ言われていた歯周病も、現在では進行を阻止することが可能となり、状況によっては元の健康な状態に戻すこと(再生療法)さえ出来るようになってきました。
われわれは、常に治療効果の高い新しい技術を習得するために、毎年数回は国内外の専門分野の学会(米国歯周病学会、日本歯周病学会、日本臨床歯周病学会など)や研修会(米国先端歯科医療研修会:IADSなど)に参加し、われわれの治療例の発表をしています。
そして、1本でも多くの歯を保存するよう常に努力しています。
 
 

 
  

Copyright (C) Teshima Dental Clinic. All Rights Reserved.